子供のために👶
2018年8月8日

こんにちはクマザワデンタルの多和田です(^-^)
今日は、子供をもつお母さんお父さんに向けてお話をしたいなと思います。
自分以上に子供の成長や幸せを考えて子育てに勤しむお母さん・お父さんは多く、子供をもつことで新たなコミュニティーも増え、色々な情報やアドバイス耳にすることも多くなったのではないかなと思います。
成長は比べるものではないけど気になってしまう。
子供を一番に考えるからこそ当然の事だと思います。
それは歯科的な事でも言えます。
『お友達がもう虫歯になってしまったから、心配になって』
『歯がまだ生えそろわなくて』
『歯医者さんはいつぐらいから通えばいいのか』
子供の成長とともに悩みもさまざまだと思います‼
歯医者さんに来ても恐怖心からお口が開けられなかったり、泣いてしまって治療も思うようにすすまなかったり。
でも、子供は成長します(゚ω゚)
私たちも驚くぐらいのスピードで!
いつも一緒にいるお母さんお父さんならそれが近くで感じられるでしょう‼
子供にとって絶対の味方はお父さんお母さん。
最初は恐くて嫌だった歯医者も、お父さんとお母さんがしっかりとお子さんに伝え、応援する事で「頑張る」が身につくんだなと感じています。
最初から歯ブラシが上手な子はいません。
両親が一緒に一生懸命取り組むことで子供は学んでいきます!
”虫歯から歯を守るために大切なことは何か”
お家でも歯医者さんでもお子さんたちに伝えていきましょう!

それから… 実は妊娠時は虫歯になりやすいんです😢
今まで虫歯を指摘されなかった人もリスクは高くなります。
お父さんお母さんに虫歯があると子供にも影響してしまいます
!(口移しや同じ食器をつかったり)
なのでお子さんと一緒に1度家族で検診を勧めます👀
医療法人E&Y KUMAZAWA DENTAL CLINIC 横浜あざみ野
(クマザワデンタルクリニック横浜あざみ野)
神奈川県横浜市青葉区新石川1-13-2
TEL : 045-482-4970
診療日 : 平日 9:30〜13:00/14:30〜19:30
土曜日 9:30〜13:00/14:00〜17:30
休診日 水曜日、日曜、祝日
あざみ野駅から徒歩3分
駐車場2台完備
審美セラミック治療、徹底的な歯周病治療、マイクロスコープ根管治療、難易度の高いインプラント治療、ホワイトニング、親知らずの抜歯、など様々な治療に対応しております。
渋谷区恵比寿に医療法人E&Y KUMAZAWA DENTAL CLINIC恵比寿
(クマザワデンタルクリニック恵比寿)
院長 髙橋英明
歯科医師 服部善明
歯科医師 大江真莉子
歯科医師 浦田由記
理事長 熊澤亮人
8月の矯正日のお知らせ
2018年8月7日
皆さん、こんにちは。
クマザワデンタルクリニックの落合です^^
7月から矯正医の林先生による、無料相談がスタートしました!
8月の日程のお知らせです。
今月は
8月23日(木)
小児矯正はじめ、成人矯正も受け付けております。
✳︎そもそも矯正をしたほうがいいの?
✳︎どんな方法でやるの?
✳︎金額はどのくらいかかるの?
✳︎期間はどのくらいかかるの?
✳︎痛みはあるの?
✳︎いつから始めたらいいの?
などの疑問点に林先生がお答えします!
一人一人お口の中を見てから、矯正方法、期間、金額などをお伝えしますので、具体的なお話ができます。
矯正は見た目が良くなるだけでなく、清掃性を良くすることで虫歯予防にもつながります。
たかが虫歯と思われている方も多いですが、放っておけば、小さかった虫歯はどんどん深く大きく広がります。
そうなれば、神経をとる処置や、進行していた場合は抜歯の可能性もあります。
清掃性が良いことはとっても大事です^^
23日(木)、続々とご予約をいただいております。
まずは無料相談から。
ご案内できるお時間もありますので、お問い合わせください。

医療法人E&Y KUMAZAWA DENTAL CLINIC 横浜あざみ野
(クマザワデンタルクリニック横浜あざみ野)
神奈川県横浜市青葉区新石川1-13-2
TEL : 045-482-4970
診療日 : 平日 9:30〜13:00/14:30〜19:30
土曜日 9:30〜13:00/14:00〜17:30
休診日 水曜日、日曜、祝日
あざみ野駅から徒歩3分
駐車場2台完備
審美セラミック治療、徹底的な歯周病治療、マイクロスコープ根管治療、難易度の高いインプラント治療、ホワイトニング、親知らずの抜歯、など様々な治療に対応しております。
渋谷区恵比寿に医療法人E&Y KUMAZAWA DENTAL CLINIC恵比寿
(クマザワデンタルクリニック恵比寿)
院長 髙橋英明
歯科医師 服部善明
歯科医師 大江真莉子
歯科医師 浦田由記
理事長 熊澤亮人
歯周病のセルフチェック
2018年8月6日
こんにちは!
歯科衛生士の桑名です。
突然ですが、あなたはお口の中を観察したり、どうなっているのか気にしたことはありますか?

【思いあたる症状をチェックしましょう!】
*朝起きたとき、口の中がネバネバする。
* ブラッシング時に出血する。
* 口臭が気になる。
* 歯肉がむずがゆい、痛い。
* 歯肉が赤く腫れている。
(健康的な歯肉はピンク色で引き締まっている)
* かたい物が噛みにくい。
* 歯が長くなったような気がする。
* 前歯が出っ歯になったり、歯と歯の間に隙間がでてきた。食物が挟まる。
※上記の項目3つあてはまる
→油断は禁物です。ご自分および歯医者さんで予防するように努めましょう。
※上記の項目6つあてはまる
→歯周病が進行している可能性があります。
※上記の項目全てあてはまる
→歯周病の症状がかなり進んでいます。
いかがでしたか?
実はセルフチェックはとても重要です!
いち早く歯ぐきの炎症や、歯周病の危険サインなど気づくことができます。
日頃からお口の中を鏡で見てよく観察したり、健康状態をチェックしてみましょう!
少しでも、変だな、気になるな、と思うことがあれば気軽にクマザワデンタルクリニックへお越しください♫
自覚状態が何もなくても油断は禁物!
歯周病は症状なく進行するのです…
是非、検診へお越しください(^^)
詳しくチェックさせていただきます♪
歯は一生もの。
あなたの大切な歯、一緒に予防や治療していきましょう!
医療法人E&Y KUMAZAWA DENTAL CLINIC 横浜あざみ野
(クマザワデンタルクリニック横浜あざみ野)
神奈川県横浜市青葉区新石川1-13-2
TEL : 045-482-4970
診療日 : 平日 9:30〜13:00/14:30〜19:30
土曜日 9:30〜13:00/14:00〜17:30
休診日 水曜日、日曜、祝日
あざみ野駅から徒歩3分
駐車場2台完備
審美セラミック治療、徹底的な歯周病治療、マイクロスコープ根管治療、難易度の高いインプラント治療、ホワイトニング、親知らずの抜歯、など様々な治療に対応しております。
渋谷区恵比寿に医療法人E&Y KUMAZAWA DENTAL CLINIC恵比寿
(クマザワデンタルクリニック恵比寿)
院長 髙橋英明
歯科医師 服部善明
歯科医師 大江真莉子
歯科医師 浦田由記
理事長 熊澤亮人
横浜総合病院歯科口腔外科
2018年8月3日

熊澤です。
先日、あざみ野某食事処にて横浜総合病院歯科口腔外科のドクターと青葉区のドクターによる会に参加させて頂きました。
諸先生方の貴重なお話を聞かせて頂き、大変勉強になりました。
医療法人E&Y KUMAZAWA DENTAL CLINIC 横浜あざみ野
(クマザワデンタルクリニック横浜あざみ野)
神奈川県横浜市青葉区新石川1-13-2
TEL : 045-482-4970
診療日 : 平日 9:30〜13:00/14:30〜19:30
土曜日 9:30〜13:00/14:00〜17:30
休診日 水曜日、日曜、祝日
あざみ野駅から徒歩3分
駐車場2台完備
審美セラミック治療、徹底的な歯周病治療、マイクロスコープ根管治療、難易度の高いインプラント治療、ホワイトニング、親知らずの抜歯、など様々な治療に対応しております。
渋谷区恵比寿に医療法人E&Y KUMAZAWA DENTAL CLINIC恵比寿
(クマザワデンタルクリニック恵比寿)
院長 髙橋英明
歯科医師 服部善明
歯科医師 大江真莉子
歯科医師 浦田由記
理事長 熊澤亮人
暑い夏にぴったりの…🍑
2018年8月3日
皆さん、こんにちは。
クマザワデンタルクリニックの落合です^^
またまた熊澤院長から美味しい差し入れをいただきました!

熊澤院長のご出身、福島のご両親が送ってくださったそうで、お裾分けをいただきました*^^*
持って帰ろうと思ったのですが…
袋を開けたら、大きくてとーってもいい香りがしていたので、我慢できずお昼に食べてしまいました♪
甘くて、瑞々しくて、すごく美味しかったです!
ありがとうございます^^
桃パワーで今週も元気にみなさまをお出迎えします!
医療法人E&Y KUMAZAWA DENTAL CLINIC 横浜あざみ野
(クマザワデンタルクリニック横浜あざみ野)
神奈川県横浜市青葉区新石川1-13-2
TEL : 045-482-4970
診療日 : 平日 9:30〜13:00/14:30〜19:30
土曜日 9:30〜13:00/14:00〜17:30
休診日 水曜日、日曜、祝日
あざみ野駅から徒歩3分
駐車場2台完備
審美セラミック治療、徹底的な歯周病治療、マイクロスコープ根管治療、難易度の高いインプラント治療、ホワイトニング、親知らずの抜歯、など様々な治療に対応しております。
渋谷区恵比寿に医療法人E&Y KUMAZAWA DENTAL CLINIC恵比寿
(クマザワデンタルクリニック恵比寿)
院長 髙橋英明
歯科医師 服部善明
歯科医師 大江真莉子
歯科医師 浦田由記
理事長 熊澤亮人
歯が溶ける💦
2018年8月1日

こんにちは、クマザワデンタルの多和田です。
連日、猛暑日が続いていますね(;´A`)
ニュースでも熱中症が取りあげられ、体調管理に充分気を付けないといけないと危機感を感じています。
1年を通してこの暑い時期☀にはたくさん水分をとると思います!
特に炭酸飲料は売れます(^ω^)
私も子供の時から好きで、自販機はかなりの確率で炭酸飲料のボタンを押しています❗
しかし、普段口にする食べ物や飲み物で歯が溶けてしまう事があるんです。

それが酸蝕症漢字も怖い((( ;゚Д゚))))
酸性の強い食べ物や飲み物・・梅干し、レモン、柑橘類、黒酢、炭酸飲料etc…
私の好きな炭酸( ノД`)…

これらは歯の表面のエナメル質を溶かしてしまう酸が強いため徐々に歯を溶かしてしまうのです!
通常は唾液によって酸性状態のお口の中が中性にもどりを酸蝕症を防ぐのですが、ここでもうひとつ『食べ方飲み方』が大きく左右するするのです。👀‼
飲み物に含まれる酸が口の中に長くとどまることで、歯が酸の影響を受ける時間が長くなり、酸蝕症のリスクが非常に高まってしまいます💦
そこで気を付けたいのが
・ちょっとずつダラダラと飲むのはやめる
・飲んだあとは水やお茶を飲んだり、うがいをする
・就寝前は酸性度の高いものは控える
(就寝中は唾液の分泌が少なくなるため)
歯が溶けることは恐ろしいことです!
原因や対策を知ることで歯を酸蝕症から守りましょう✊
医療法人E&Y KUMAZAWA DENTAL CLINIC 横浜あざみ野
(クマザワデンタルクリニック横浜あざみ野)
神奈川県横浜市青葉区新石川1-13-2
TEL : 045-482-4970
診療日 : 平日 9:30〜13:00/14:30〜19:30
土曜日 9:30〜13:00/14:00〜17:30
休診日 水曜日、日曜、祝日
あざみ野駅から徒歩3分
駐車場2台完備
審美セラミック治療、徹底的な歯周病治療、マイクロスコープ根管治療、難易度の高いインプラント治療、ホワイトニング、親知らずの抜歯、など様々な治療に対応しております。
渋谷区恵比寿に医療法人E&Y KUMAZAWA DENTAL CLINIC恵比寿
(クマザワデンタルクリニック恵比寿)
院長 髙橋英明
歯科医師 服部善明
歯科医師 大江真莉子
歯科医師 浦田由記
理事長 熊澤亮人
親知らず抜いてもらいました《左上顎編》
2018年7月29日
皆さん、こんにちは。
クマザワデンタルクリニックの落合です^^
先日ついに…熊澤院長に全ての親しらずを抜いていただきました!
出ていた親しらず、埋もれていた親しらず…
痛みや経過、気になりますよね。
体験談を交えてお伝えします!
そもそもなぜ親しらずを抜いた方がいいと言われるのでしょう?
◾️奥まっていてケアが行き届かない
親しらずが虫歯になると手前の歯も虫歯のリスクが高まります。
◾️歯並びに影響してくる
親しらずは斜め、もしくは真横になっていることが多くあります。
奥からドミノ倒しのように歯が押されて、歯並びを悪くする可能性があります。
などの理由から抜いたほうがいいと言われます。
ですが全ての親知らずが抜くべき対象になるわけではありません。
ケアが出来て、噛み合わせが使えるようであれば抜かなくてもOKです!
“私はどうだろう…このままでいいのかな?”と思う方、是非熊澤院長にご相談ください。
私の歯のレントゲン写真です。
写真のため左右逆になりますね。
左上の親しらずは歯肉から完全に歯が出ていて、生えています。
左下は完全埋伏歯(歯肉に全て埋まっている歯)でした。
右上も完全埋伏歯。
右下は元々親知らずはありません。
まずは簡単に抜けるとの左上の親知らずから。
初めての抜歯でドキドキ。
麻酔をして、治療が始まると脱臼するゴリゴリ音が頭に響きます>_<
ほんの数秒後”抜けたよ〜!”と熊澤院長の声が!!
レントゲンで見るより根強く生えていたようですが^^;
怖がる時間もなくあっという間に抜けました!
親しらずが生えていたところはぽっかり大きな穴が。
その穴は徐々に縮んでいき、1週間後にはほぼ閉じました。
念のため治療前に痛み止めを飲みました。
麻酔が薄れ痛み止めが切れても、違和感程度で痛みはありませんでした。
もちろん顔の腫れもありません。
スタッフ全員、熊澤院長に親知らずを抜いてもらっているので、痛みや腫れなど不安点、疑問点是非ご相談ください!
こちら抜いた親しらず。
あんなに一生懸命磨いていたのに!
ケアが行き届いていなかったのがよくわかります…
別アングル↓
こっちにも虫歯が…
私も不安がありましたが、手早やさや痛みの少なさを実感して熊澤院長に抜いてもらえてよかったと思いました^^
そして私は翌日左下の完全埋伏歯を抜いてもらうのでした…°_°
医療法人E&Y KUMAZAWA DENTAL CLINIC 横浜あざみ野
(クマザワデンタルクリニック横浜あざみ野)
神奈川県横浜市青葉区新石川1-13-2
TEL : 045-482-4970
診療日 : 平日 9:30〜13:00/14:30〜19:30
土曜日 9:30〜13:00/14:00〜17:30
休診日 水曜日、日曜、祝日
あざみ野駅から徒歩3分
駐車場2台完備
審美セラミック治療、徹底的な歯周病治療、マイクロスコープ根管治療、難易度の高いインプラント治療、ホワイトニング、親知らずの抜歯、など様々な治療に対応しております。
渋谷区恵比寿に医療法人E&Y KUMAZAWA DENTAL CLINIC恵比寿
(クマザワデンタルクリニック恵比寿)
院長 髙橋英明
歯科医師 服部善明
歯科医師 大江真莉子
歯科医師 浦田由記
理事長 熊澤亮人
下顎水平埋伏智歯抜歯術
2018年7月27日


熊澤です。
下顎水平埋伏智歯、いわゆる下の親知らずです。
横向きに生えて埋まっていますが、長期的にみると、手前の歯に悪影響を及ぼす可能性などなど様々なトラブルを引き起こす可能性があります。

年齢が上がるにつれ、組織は柔軟性に乏しくなりますので、抜きづらくもなります。
やはり20代で抜歯するのがベストかもしれません。

CTにて3次元的に、周りの組織の厚みや、神経血管組織などの位置関係を精査してから安全に抜歯します。
当院では、大学病院でしか抜けないと言われたものも対応致します。
画像の埋伏智歯は当院で抜歯術を行っております。
CTで精査した上で、神経血管損傷のリスクが明らかな場合に限っては横浜総合病院口腔外科に紹介します。
医療法人E&Y KUMAZAWA DENTAL CLINIC 横浜あざみ野
(クマザワデンタルクリニック横浜あざみ野)
神奈川県横浜市青葉区新石川1-13-2
TEL : 045-482-4970
診療日 : 平日 9:30〜13:00/14:30〜19:30
土曜日 9:30〜13:00/14:00〜17:30
休診日 水曜日、日曜、祝日
あざみ野駅から徒歩3分
駐車場2台完備
審美セラミック治療、徹底的な歯周病治療、マイクロスコープ根管治療、難易度の高いインプラント治療、ホワイトニング、親知らずの抜歯、など様々な治療に対応しております。
渋谷区恵比寿に医療法人E&Y KUMAZAWA DENTAL CLINIC恵比寿
(クマザワデンタルクリニック恵比寿)
院長 髙橋英明
歯科医師 服部善明
歯科医師 大江真莉子
歯科医師 浦田由記
理事長 熊澤亮人
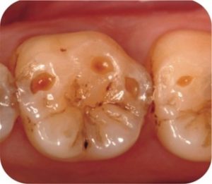
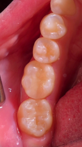
オールセラミックインレー
2018年7月22日


院長の熊澤です。
『オールセラミックインレー』の術前、術後です。
オールセラミックにも、様々な種類があります。
酸化アルミニウム、二ケイ酸リチウム、酸化ジルコニウム、ポーセレン。
それぞれ白い歯なのですが、色調再現性、強度、向き不向きがあります。
今回、下顎6番にセラミックインレー(二ケイ酸リチウム)をセットしました。
特徴としては、エナメル質の約4倍の強度を備えた透明度の高い審美的なものです。
形成、印象を精密に行い、熟練した技工士が作製し、接着することで、歯との密着を高め、プラークの付着を防止し、う蝕の再発を防ぎます。
医療法人E&Y KUMAZAWA DENTAL CLINIC 横浜あざみ野
(クマザワデンタルクリニック横浜あざみ野)
神奈川県横浜市青葉区新石川1-13-2
TEL : 045-482-4970
診療日 : 平日 9:30〜13:00/14:30〜19:30
土曜日 9:30〜13:00/14:00〜17:30
休診日 水曜日、日曜、祝日
あざみ野駅から徒歩3分
駐車場2台完備
審美セラミック治療、徹底的な歯周病治療、マイクロスコープ根管治療、難易度の高いインプラント治療、ホワイトニング、親知らずの抜歯、など様々な治療に対応しております。
渋谷区恵比寿に医療法人E&Y KUMAZAWA DENTAL CLINIC恵比寿
(クマザワデンタルクリニック恵比寿)
院長 髙橋英明
歯科医師 服部善明
歯科医師 大江真莉子
歯科医師 浦田由記
理事長 熊澤亮人
マウスピースで歯を守ろう!
2018年7月22日
クマザワデンタルクリニックの多和田です。
皆さんはマウスピースお持ちですか?(゚ω゚)

マウスピースの役割としては就寝中、歯にかかる過大な力(歯ぎしり、くいしばり)から歯や顎を守る為にあります。
就寝中を含め8割~9割の方が歯ぎしり食いしばりを行っています。
その頻度が多いと肩凝りや、歯の磨耗、歯周病の進行などさまざまなトラブルを引き起こしてしまう可能性があります😵
・朝起きると顎が疲れている
・上下の歯の噛み合う面が削れている
・歯に亀裂がはいっている
・歯茎の内側にこぶがある(骨隆起)
・最近環境の変化があり歯が痛む
これらは歯ぎしり食いしばりが関係している可能性があります👀‼
ただ、歯ぎしりくいしばりはストレスを解消する目的もあるため現代人には切っても切り離せない行為の一つでもあります。
自分で出来る対策としては、日中にくいしばりをしている方は歯をくっつけないように意識することや、お口周りの筋肉をマッサージしてほぐすこと。
口を閉じた状態でも歯と歯は2~3㎜開いているのが正常だといわれています。
就寝中は無意識の中で起きるので、まずは睡眠の質を高め疲れをとり(枕の高さを適正に)、そしてマウスピースをつけて歯ぎしりくいしばりから歯を守ることが大切になってきます!

自分は普段歯ぎしりしているのかどうか気になる方や、セラミックを入れて欠けるのが心配な方、歯ぎしりを自覚していてなんとかしたい方もご相談ください!
※マウスピース(ナイトガード)は保険適用です。
医療法人E&Y KUMAZAWA DENTAL CLINIC 横浜あざみ野
(クマザワデンタルクリニック横浜あざみ野)
神奈川県横浜市青葉区新石川1-13-2
TEL : 045-482-4970
診療日 : 平日 9:30〜13:00/14:30〜19:30
土曜日 9:30〜13:00/14:00〜17:30
休診日 水曜日、日曜、祝日
あざみ野駅から徒歩3分
駐車場2台完備
審美セラミック治療、徹底的な歯周病治療、マイクロスコープ根管治療、難易度の高いインプラント治療、ホワイトニング、親知らずの抜歯、など様々な治療に対応しております。
渋谷区恵比寿に医療法人E&Y KUMAZAWA DENTAL CLINIC恵比寿
(クマザワデンタルクリニック恵比寿)
院長 髙橋英明
歯科医師 服部善明
歯科医師 大江真莉子
歯科医師 浦田由記
理事長 熊澤亮人